银屑病的症状有哪些?任何疾病都要早发现早治疗,牛皮癣这种皮肤病如果早期如果能够积极治疗,那么,治疗疗效是非常显著的,牛皮癣初期如果能够及时接受科学的治疗,病情是比较容易治愈的,如果患者拖延病情,那么,牛皮癣就没有那么好治了,因此,了解牛皮癣症状之后及时治疗是非常关键的,那么,牛皮癣的症状有哪些呢?下面,成都牛皮癣专科医院专家为您详细介绍这个问题。

银屑病的症状有哪些
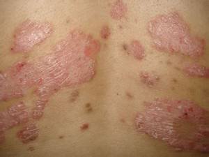
牛皮癣的症状表现:
1、皮损炎症比较明显,常表现为鲜红色,上面覆盖有疏松的,容易脱落的银白色鳞屑,皮损的周边常有一圈红晕。
2、在进行期,如刺激健康皮肤表面,即可发生牛皮癣样皮损,称为同形反应,这也是牛皮癣的症状表现之一。
3、此病发展过程中,皮损形态可表现为多种形式。急性期皮损多呈点滴状,鲜红色,瘙痒难耐。静止期皮损常为斑块状或地图状等。消退期皮损常呈环状、半环状。
牛皮癣症状的问题,成都牛皮癣专科医院专家已经为您详细介绍,希望对患者朋友们会有所帮助!牛皮癣对患者的身心造成了巨大的伤害,患者需要注意重视该病的治疗,治疗不可忽视,早期接受正规的治疗是非常关键的,当然在治疗过程中,患者需要选择权威、正规的皮肤病医院,这样牛皮癣治疗疗效才有保障!