 
  
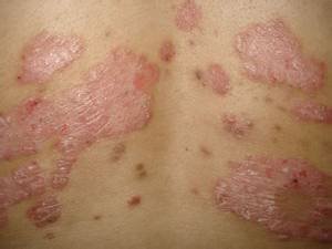
儿童是祖国的未来,儿童健康成长是每个家长的心愿,但是牛皮癣却打破了这个美好的愿望。儿童牛皮癣的发病率近些年有所上升,对于该病的治疗,至今还没有特效药物,儿童牛皮癣是人群中比较特殊的一部分,他们的免疫力还比较弱,容易受到这些疾病的干扰,对于家长来说,了解儿童牛皮癣的一些常识是非常必要的,下面,成都牛皮癣医院专家为我们具体讲解这个问题。
	
	
	儿童牛皮癣护理
1、儿童牛皮癣患者的饮食也很重要,应注意调整饮食结构,家长要注意,避免孩子养成挑食的习惯,挑食容易导致孩子体内营养不均衡,微循环障碍,诱发牛皮癣的发生,儿童牛皮癣患者饮食应该以营养为主,多吃富含蛋白质、微量元素以及矿物质的食物,对于预防和治疗牛皮癣都是非常有益的。
2、牛皮癣属心身疾病,儿童心智还没有发育健全,如果遇到一些不快的事情,心理也会比较压抑,如受功课压力,同学和周围人群的冷落,或者是家庭不和等等因素,家长需要注意尽量为孩子营造良好的家庭氛围,有助于儿童牛皮癣患者的病情康复。
3、孩子的免疫力较弱,容易患上上呼吸道感染、扁桃体炎等等,这些疾病的发生容易诱发牛皮癣的发生,日常生活中,孩子要注意保暖,增强自身抵抗力,有效预防牛皮癣的发生。
以上是专家介绍的有关儿童牛皮癣常识问题,希望患者,看后会有所帮助。牛皮癣是季节性较为明显的疾病,该病严重影响患者的身心健康,对于儿童来说,越早治疗越容易治愈,所以患者如果发现孩子得了牛皮癣,一定要带孩子到正规的医院接受治疗,防止耽误病情,影响孩子一生。